Các rối loạn về cơ quan hô hấp là một trong các di chứng thường gặp và nguy hiểm nhất của người bệnh sau khi nhiễm COVID-19. Theo Hiệp hội Bệnh phổi kẽ vương quốc Anh, phân tích gộp các nghiên cứu quan sát ban đầu đã xác định được một tỉ lệ đáng kể bệnh nhân có bệnh phổi kẽ liên quan đến COVID kéo dài với ước tính 27% bệnh nhân được chụp cắt lớp vi tính ngực có dấu xơ phổi trong thời gian nhập viện điều trị COVID và ước tính 33% có xuất hiện tình trạng xơ phổi sau 6 tháng, điều này cho thấy sự tiến triển xơ hóa phổi theo thời gian. Tương tự, khi khảo sát các đối tượng hậu COVID từ 01 đến 06 tháng, kết quả cho thấy ước tính có 45% bệnh nhân có suy giảm chức năng thông khí, 21% bệnh nhân có rối loạn chức năng hô hấp hạn chế.

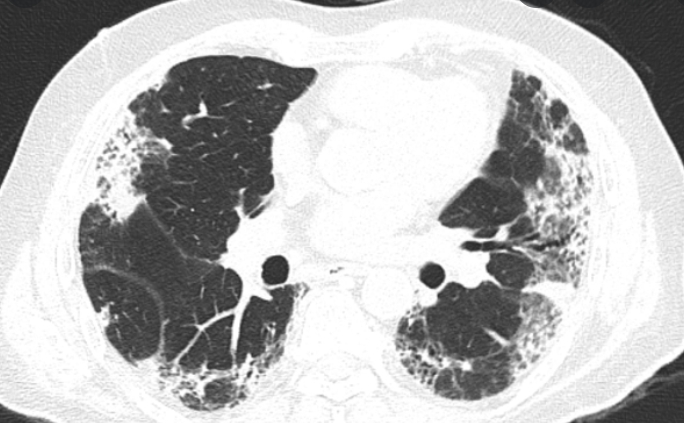
Hình ảnh Xơ phổi ở bệnh nhân Hậu Covid
Để phát hiện, chẩn đoán sớm và điều trị kịp thời cho người bệnh nhiễm COVID-19 có di chứng tại phổi, Trung tâm Hô hấp triển khai khám sức khỏe hậu COVID-19 tại phòng 502, tầng 5, tòa nhà K1 – Bệnh viện Bạch Mai. Đồng thời, Trung tâm triển khai đường dây hotline tư vấn miễn phí cho người bệnh qua đầu số: 0886068558

Bác sĩ khám bệnh cho người bệnh Hậu Covid tại Trung tâm Hô Hấp
Quý bệnh nhân có nhu cầu khám bệnh vui lòng liên hệ hotline: 0886068558 để đặt lịch trước hoặc đến khám trực tiếp tại phòng 502, tòa nhà K1, Bệnh viện Bạch Mai